NIJMEGEN, Pays-Bas–(BUSINESS WIRE)–Aiosyn, éditeur de logiciels médicaux spécialisé dans les solutions liées à la pathologie et alimentées par l’IA, a annoncé la sortie d’une suite rénale d’IA conçue pour faire avancer la recherche dans le domaine des maladies rénales. S’appuyant sur une technologie de pointe d’apprentissage approfondi, cette solution innovante fournit aux entreprises biopharmaceutiques et de recherche des outils puissants pour analyser les structures rénales et quantifier les lésions qui ont un impact sur la santé rénale. La suite rénale d’IA d’Aiosyn marque une nouvelle étape importante pour l’entreprise, qui fait suite au récent lancement d’Aiosyn Mitosis Research.
Patrick de Boer, CEO d’Aiosyn déclare : « La plateforme permettra aux chercheurs d’identifier des biomarqueurs de l’IRC, nouveaux ou existants, pour étudier des sous-groupes de patients spécifiques. Avec ces nouveaux algorithmes et ces capacités d’IA, nous fournissons aux chercheurs en IRC de nouveaux outils pour compléter les projets de biomarqueurs existants et contribuer à faire progresser la médecine de précision de l’IRC. »
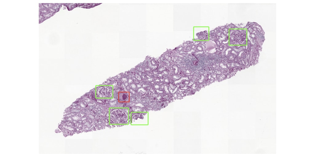
Avec 850 millions de personnes dans le monde entier souffrant de maladies rénales (1) et l’insuffisance rénale chronique (IRC) qui devrait devenir la cinquième cause de décès d’ici 2040(2), il existe un besoin urgent d’améliorer le diagnostic et le traitement. La suite rénale d’IA d’Aiosyn utilise des algorithmes de pathologie computationnelle alimentés par l’IA pour quantifier objectivement les scores des lésions rénales, offrant ainsi la possibilité d’améliorer la reproductibilité et d’accélérer le développement de médicaments. La plateforme résout le problème des limites de la classification de Banff actuellement utilisée dans l’analyse des biopsies rénales, qui subit la variabilité des observateurs et repose sur des évaluations qualitatives.
La suite rénale d’IA d’Aiosyn facilite l’identification et la caractérisation des processus pathologiques, et ouvre une voie prometteuse à d’importantes améliorations dans la recherche et les essais cliniques sur l’insuffisance rénale chronique. Parallèlement à sa plateforme d’IA rénale, Aiosyn développe activement des algorithmes avancés d’apprentissage approfondi visant à la détection de biomarqueurs du cancer.
À propos d’Aiosyn
Aiosyn est une société néerlandaise de logiciels médicaux qui développe des solutions de pathologie alimentées par l’IA pour le cancer et les maladies rénales. Les solutions d’Aiosyn sont intégrées dans les workflows standards de la pathologie. L’équipe d’Aiosyn s’appuie sur plus de 20 ans d’expérience en recherche dans le domaine de la pathologie et est bien ancrée dans la pratique de la pathologie.
Sources
- Jager, K. J., Kovesdy, C., Langham, R., Rosenberg, M., Jha, V., & Zoccali, C. (2019). A single number for advocacy and communication—worldwide more than 850 million individuals have kidney diseases. Nephrology Dialysis Transplantation, 34(11), 1803-1805.
- Foreman, K. J., Marquez, N., Dolgert, A., Fukutaki, K., Fullman, N., McGaughey, M., … & Murray, C. J. (2018). Forecasting life expectancy, years of life lost, and all-cause and cause-specific mortality for 250 causes of death: reference and alternative scenarios for 2016–40 for 195 countries and territories. The Lancet, 392(10159), 2052-2090.
Le texte du communiqué issu d’une traduction ne doit d’aucune manière être considéré comme officiel. La seule version du communiqué qui fasse foi est celle du communiqué dans sa langue d’origine. La traduction devra toujours être confrontée au texte source, qui fera jurisprudence.
Contacts
Anna Correas, spécialiste du marketing et de la communication chez Aiosyn
anna.correas@aiosyn.com



