NIMÈGUE, Pays Bas–(BUSINESS WIRE)–Aiosyn, une société de logiciels médicaux spécialisée dans les solutions pathologiques alimentées par l’IA, a publié son premier algorithme d’IA dans sa famille de produits Mitosis : Aiosyn Mitosis Research. L’algorithme innovant d’apprentissage approfondi est conçu pour rechercher automatiquement les cellules en cours de division (mitoses) afin d’aider les laboratoires de recherche en pathologie à détecter les figures mitotiques dans les images de lames entières provenant de biopsies et de résections chirurgicales de cancer. Le deuxième algorithme de la famille, Aiosyn Mitosis Breast, destiné au diagnostic, est actuellement en cours de validation clinique.
« Nous sommes ravis de présenter Aiosyn Mitosis Research, une solution de détection des mitoses alimentée par l’IA, qui aidera les chercheurs en oncologie grâce à une approche innovante de biomarqueurs computationnels basée sur l’IA qui améliore l’efficacité et la régularité des résultats. » déclare Patrick de Boer, PDG d’Aiosyn
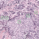
Le comptage des figures mitotiques dans les préparations de lames histologiques est une tâche fastidieuse et subjective dont la reproductibilité est faible. La solution de détection des mitoses alimentée par l’IA permet aux laboratoires de mettre en œuvre un protocole plus harmonisé et plus efficace pour la découverte de biomarqueurs et les études de développement de médicaments, améliorant ainsi la qualité et la normalisation des résultats. En mettant en évidence les figures mitotiques dans les lames d’hématoxyline et d’éosine (H&E) avant que les dossiers ne soient ouverts pour examen, l’algorithme d’Aiosyn améliore considérablement l’efficacité de l’analyse des mitoses, un biomarqueur essentiel pour l’évaluation de la croissance des tumeurs.
Aiosyn Mitosis Research est un logiciel modulaire et flexible offert en tant que solution de service qui peut être intégré dans un logiciel de pathologie numérique existant. Il peut être déployé via le cloud ou une installation sur site, s’adaptant ainsi aux différentes configurations de laboratoire. Cette version marque une nouvelle étape importante pour Aiosyn, après le lancement réussi d’AiosynQC, un outil de contrôle de qualité automatisé qui rationalise considérablement le flux de travail de la pathologie numérique.
Aiosyn est actuellement en phase de validation d’un autre produit de la famille Mitosis, Aiosyn Mitosis Breast, pour le diagnostic clinique. Aiosyn Mitosis Research et Aiosyn Mitosis Breast feront partie d’un portefeuille d’algorithmes d’apprentissage profond actuellement en cours de développement pour différentes pathologies pour lesquelles il existe un besoin évident d’améliorer la précision et la qualité du diagnostic.
À propos d’Aiosyn
Aiosyn est une société néerlandaise de logiciels médicaux qui se consacre au développement des solutions de pathologie alimentées par l’IA, lesquelles sont intégrées dans les flux de travail standard de la pathologie. L’équipe d’Aiosyn s’appuie sur plus de 20 ans d’expérience de recherche dans le domaine de la pathologie et est possède une solide expertise dans la pratique de la pathologie.
À propos d’Aiosyn Mitosis Research
Aiosyn Mitosis Research est une solution basée sur l’IA qui reconnaît et met en évidence les figures mitotiques dans les lames H&E. Aiosyn Mitosis Research est destiné à la recherche uniquement. Aiosyn valide actuellement un autre produit de la famille Mitosis, Aiosyn Mitosis Breast, pour le diagnostic clinique. Il fait l’objet d’une certification CE dans le cadre de l’IVDR de l’UE.
Le texte du communiqué issu d’une traduction ne doit d’aucune manière être considéré comme officiel. La seule version du communiqué qui fasse foi est celle du communiqué dans sa langue d’origine. La traduction devra toujours être confrontée au texte source, qui fera jurisprudence.
Contacts
Anna Correas, Spécialiste en marketing et communication chez Aiosyn
[email protected]

